Afin de se conformer à l’arrêté du 01 octobre 2019, nous avons mis en place et validé une méthode interne (1) d’analyse par MOLP ; il s’agit d’une identification qui s’appuie sur les propriétés minéralogiques de la fibre.
(1) Basée sur le guide HSG 248 (Annexe 2) et la norme NF ISO 22262-1 (parties utiles de la norme)
- Micrographie MOLP – Biréfringence de l’amosite Lumière polarisée et analysée (LPA) Liquide IR = 1,670
- Micrographie MOLP – Pléochroïsme de la crocidolite Lumière polarisée plane (LP) Liquide IR = 1,700
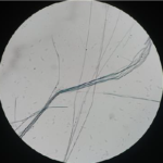
- Micrographie MOLP – Signe d’allongement du chrysotile (fibre positive) Lumière polarisée, analysée et compensée (LPAC) Liquide IR = 1,550
